- Accueil
- Produits
- Echographie
- Echographe vétérinaire
- Echographe portable médecine humaine.Echographie Humaine Intérêt d’un échographe portable en échographie humaine ? Médecine générale urologie ou autre , avoir cet appareil en hôpital pour vérifier les grossesses sans faire descendre la patiente a l’ échographie et faire la queue, limiter les risques de complication, trier les patients nous distribuons ce matériel en France et a l’ étranger avec des garanties pièce et main d’oeuvre de 2 années.
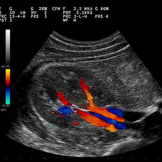
- Echographes Doppler couleurEchographe portable tous les échographes portables en veto et humaine [vc_accordion collapsible= »yes » disable_keyboard= »yes » active_tab= »0″][vc_accordion_tab title= »En savoir plus.. »][vc_column_text] Mob: +33633101107 Tel: +33148723771 Echographe portable tous nos échographes portables en medecine veto et humaine l’ échographe portable tous nos echographes portables pour toute médecine est un outil indispensable dans cette forte demande de diagnostic ambulatoire dans tous les domaines médicaux et toutes les spécialités , il peux se décliner dans la médecine humaine et vétérinaire. un échographe portable est si nécessaire dans les services de gynécologie obstétrique pour des inspections rapides et non traumatisante , j’ ai souvent été étonné de l’ intérêt du personnel hospitalier quand nous faisions des démonstration a l’ hôpital , ici nous voyons le premier échographe que j’ ai vendu en humaine , nous avions fait la démonstration sur une femme avec des douleurs épigastriques , elle était difficilement déplaçable a l’ échographie , c’ était donc un plus en terme de confort du diagnostic . @ contact: medical@echographes.fr [/vc_column_text][/vc_accordion_tab][/vc_accordion] Echographe portable 5/5 (100.00%) 5 votes
- Échographe d' occasion
- Périphériques d'impression
- Modèles divers echographes[vc_row][/vc_row][vc_column][vc_column_text][/vc_column_text][vc_column width= »1/1″][/vc_column][vc_accordion collapsible= »yes » disable_keyboard= »yes » active_tab= »0″][vc_accordion_tab title= »Nos autres modèles »][vc_column_text] Mob: +33633101107 Tel: +33148723771 medical@echographes.fr Autres modèles et marques distribués Depuis un certain nombre d’ années nous avons distribués de nombreuses marques et modèles d’ échographes portable et mobiles , certain prospects ont leurs habitudes et veulent retrouver une unité centrale ou des sondes de remplacement ou aiment une marque en particulier, donc nous les mettons a disposition sur commande s’ils ne sont pas dis-continués. Nécessités de suivi de ces modèles Tout d’ abord ces appareils ont parfois et même souvent été upgradés au fur et a mesures des updates des constructeurs tout en gardant leur référence. Par ailleurs ils sont pour toutes médecines que cela soit pour l’ échographie de ville en cabinet de même que pour les hôpitaux et cliniques et aussi l’ échographie ambulatoire. Une page sur des appareils sur commande demandés par nos prospects En deuxième lieu , nous avons pour missions de pouvoir vous équiper sur les machines que vous connaissez et suivant vos besoins et préférences. selon l’ ensemble de nos prospects. Contactez nous réponse rapide … Désolé, un problème est survenu et votre message n’a pu être envoyé Nom : Adresse e-mail : Confirmez l’adresse…
- Endoscopie
- Endoscope médecine humaineEndoscopie humaine souple et rigide tous les endoscopes en fibroscopie et video endoscopie L’ endoscopie humaine par endoscopie flexible de fibres (fibroscopie) ou vidéo endoscopie humaine pour la détection des affections par l’ exploration cavitaire du corps du patient. L’objectif est l’utilisation d’une l’imagerie médicale peu invasive en utilisant l’ endoscopie flexible permettant l’accès aux régions du corps qui demandent un diagnostic. L’ exploration endoscopique chirurgicale Désormais de plus en plus d’ actes chirurgicaux sont pratiqués sous endoscopie afin de limiter les cicatrice et les traumas et d’ accéder a des zones sensibles ainsi que procéder a l’ acte par l’ endoscope même. Endoscopie humaine 3.67/5 (73.33%) 3 votes
- Endoscope vétérinaire
- Endoscopie Equine
- Accessoires pour endoscopie Accessoires pour l’ endoscopie, sources de lumière, coupleurs, cameras L’ endoscopie est un système optoélectronique et d’ autant plus simple que c’ est en fibroscopie.
- Endoscopes rigides
- Ophtalmologie
- AutorefractomètresNous distribuons des autofractometres , dans notre boutique en ligne, de nombreux opticiens référents nous ont fait confiance l’autorefractometre est le premier appareil de diagnostic dit passif car automatique, la machine fait les mesures sans réponses verbales du patient et se soustrait a l’ accommodation visuelle, les machines sont avec kératotomie ou non suivant la demande de correction des porteurs de lentilles ou non .
- Frontofocomètres - nos modèles
- Lampes à fente - vente en ligne
- OrthoptieTout notre matériel d’ orthoptie en vente sur notre site Les instruments nécessaires a la rééducation et la réadaptation oculaire. Afin d’ assurer le traitement symptomatique de l’amblyopie Des synoptophores et autres instrument de traitement en orthoptie Afin de pratiquer l’ exploration fonctionnelle et le training d’ amélioration de troubles de la vision nous distribuons des instruments avec une expérience du matériel a des prix très abordables pour l’ équipement des cabinets. . Orthoptie 4.33/5 (86.67%) 6 votes
- Tables electriquesTables électriques ophtalmologiques et orthoptiques Toutes les tables électriques pour disposer de vos deux mains dans vos diagnostics et l’utilisation des paliers de réglage par le genoux pour monter ou descendre vos instruments avec système électrique très performant . Des prix et de la performance sur nos tables électriques Des tables électriques de toutes dimensions pour un ou plusieurs instruments ophtalmologiques et pour orthoptistes. tables électriques ophtalmologiques 4.38/5 (87.50%) 8 votes
- Microscopie
- Radiographie - Radiologie
- Radiologie humaine - nos modèles en vente
- Radiologie vétérinaire
- Toute la gamme Radiographie
- Développeuse de radiologieDéveloppeuse de radiologie [vc_row][vc_column][vc_column_text] Développeuses de radiologie En premier lieu découvrez toutes nos développeuses de radiologie pour que vous puissiez acceder a vos radio sur place . développeuse de radio Analogique très performante En deuxième lieu faites l’ expérience utilisateur de notre boutique. Nous vendons par conséquent des développeuses de films radiologiques. Appréciez la mobilité eventuelle de ces appareils et leur prix vous permets de faire vos developpements dans votre clinique. Peu encombrant et ergonomie maximale et un budget léger grâce a nos prix accessibles..
- Analyseur hematologie
- Analyseur hématologie humaine[vc_column width= »1/1″][vc_accordion collapsible= »yes » disable_keyboard= »yes » active_tab= »0″][vc_accordion_tab title= »En savoir plus.. »][vc_column_text] Analyseur d’ hématologie médecine humaine Premièrement l’ analyse hématologique est l’un des examens les plus courants regroupant l’ ensemble des analyses demandée par le médecin pour ses patients en médecine humaine si vous désirez consulter notre page générale de matériel d’ analyse de laboratoire . De fait nous distribuons du matériel d’ analyse automatisé en hématologie humaine les moins chers du marché mais sans concession au sujet de la qualité, robustesse et fiabilité. Deuxièmement ce matériel de laboratoire correspond aux normes internationales de telle manière que nous distribuons dans toute notre gamme d’ analyse hématologique dans toute l’ Europe et les pays Francophones . Qui plus est ce matériel est pourvus de cerveau moteur extrêmement rapide quant a l’ acquisition et l’ impression des données . Tout cela finalement vous permettra d’optimiser la production de vos analyses en flux tendu. Un équipement de laboratoire indispensable Il est bon de savoir que nos appareils de laboratoire sont miniaturisés permettant de travailler dans un environnement restreint. il est a noter que nous avons également la version vétérinaire en hematologie vous pourrez vous y reporter à tout moment. En règle générale et suivant les modèles …
- Analyse vétérinaire hématologie
- Électrocardiogrammes - ECG
- Monitoring - moniteurs
- Anesthésie occasion vétérinaire
- Echographie
- Contact
- A Propos
Colonne Olympus 180 vidéo endoscopie
Colonne Olympus 180 vidéo endoscopie Colonne vidéo d’occasion avec gastroscope et colonoscope pour une endoscopie partagée en terme de diagnostic à prix accessible avec gastroscope et colonoscope en fonction de vos besoins en terme de diamètre...
Echographe vétérinaire V16
Echographe vétérinaire V16 sur batterie Echographe vétérinaire V16 sur batterie lien vers la fiche produit Avec une sonde rectale linéaire c’ est parfait pour les animaux tel: les bovins, les chevaux, les vaches et les moutons et la...
Sonde convexe wifi Doppler couleur
Sonde wifi avec fonction Doppler Sonde convexe avec les fonctions standard noir et blanc et les fonctions Doppler Une sonde et une suite logicielle sur matériel mobile Sonde convexe wifi Doppler couleur Fréquence: réseau convexe 3,5 MHz / R60...
Nouveauté : sondes échographiques Doppler couleur pour Ipad
sondes échographiques Doppler Désormais il existe des sondes Doppler couleur pour PC tablettes et mobiles. En effet avec les logiciels reproduisant les mêmes fonctions échographiques que les stations sur trolley ou portables. Finalement vous pouvez...
Endoscope pour les chevaux de course
Endoscope pour les chevaux de course Endoscope chevaux de course avec votre propre matériel les fibroscopes permettent le diagnostic de l’ appareil respiratoire et des poches gutturales , en visuel (fibroscopie) voir en système vidéo moins...
Batterie autonome materiel médical Yeti 150
Batterie autonome matériel médical Yeti 150 La batterie Yeti 150 répondra présent, pour des usages à caractères médicaux, partout ou vous avez besoin de puissance autonome. Cette source d’ alimentation légère et portable, pour garder vos...
Echographie en temps réel – utilisation des echographes en clinique
Echographie en temps réel utilisation des echographes en clinique Premièrement la majorité des échographies pratiquées sont dédiées à la gynécologie obstétriques mais bien sur dans toutes les spécialités médicales Les différents modes en...
Échographie et requin
Échographie et requin
vidéos d’utilisation du frontofocometre D-903
Écran tactile LCD graphique à -5,6 pouces
LCD inclinable -user-friendly
UV et imprimante thermique
reconnaissance de l'objectif -Auto
Nouveau microscope a contraste de phase pour dentiste
Nouveau microscope a contraste de phase microscope a contraste de phase pour dentiste Un microscope avec plateau de contraste de phase pour les dentistes et la révélation de la parodontie , á un prix défiant toute concurrence Avec une tète trinoculaire...
Nouvel échographe Q6 avec clavier
Nouvel échographe Q6
tout notre matériel en vente
matériel médical en vente
Nouvelle lampe a fente ophtalmologique
lampe a fente ophtalmologique nouveau modele Lampe a fente ophtalmologique nouveau modèle Un nouveau modèle de lampe a fente avec toutes les dernières innovation et un grossissement a cinq niveaux Le spécificités 1. Ampoule OSRAM , avec haute...
Nouvelles offres d’ appareils d’ échographie portables
Nouvelles offres d’ appareils d’ échographie portables Une spécialité sur notre site de vente le plus complet sur cet appareil de diagnostic indispensable. .Nous intervenons pour les médecins dans toutes les spécialités. Nos échographes...
Les prix les plus bas en matériel d’ ophtalmologie
Nous vendons du matériel neuf et d'occasion de kératotomie pour les opticiens livraison rapide et une expertise sur le conseil a l' achat. l' autorefractometre avec kératotomie Rmk-200 est très fiable et a un prix défiant toute concurrence
de nouveaux appareils pour la gestation bovine et équine
Nouveaux appareils pour la gestation
Les échographes d’ occasion
Les échographes d’ occasion
Echographie et radiographie portable
Echographie et radiographie [/vc_column_text][/vc_column][/vc_row]
Echographe GE Vingmed system five
Description de l ‘ echographe GE Vingmed system five GE Vingmed system five un appareil pour l’ echocardiographie lien vers notre page avec des machines neuves doppler portables Technologie Echographe de Ge electric: lien vers la page constructeur...
ECHOGRAPHES HITACHI vente en ligne
ECHOGRAPHES HITACHI ECHOGRAPHES HITACHI Distribués suivant leur disponibilité chez Dugourd echo Dme lien vers une fiche produit en reconditionné En premier lieu les machines sont très recherchées en raison de leur cartée d’image. En deuxième...
Echographes et urologie
Le format notebook rend l' échographie mobile tres pratique en raison du fait qu'une batterie assure une totale indépendance, cet échographe a été vendu la première fois a la clinique des ursulines a Versailles a deux gynécologues et a été...
Microscope polarisant vente en ligne
Microscope polarisant vente en ligne
MICROSCOPE MÉTALLURGIQUE
MICROSCOPE MÉTALLURGIQUE
microscope d’inspection vente en ligne
microscope d’inspection vent en ligne Des microscope d’inspection industriels Instrument dédié au contrôle des pieces micro mécaniques ainsi que tous les matériaux industriels Détection et analyse Ce type d’ appareil...
Microscopes industriels vente en ligne
Microscopes industriels Ces instruments sont conçus pour mesurer ainsi que procéder à l’analyse en milieu industriel, dans l’ ensemble des utilisations notamment la métallurgie ainsi que l’ analyse des polymères de même que les ...
merci de votre confiance
merci de votre confiance Nous vous remercions de votre confiance après une validation de commande vous êtes parmi notre carnet de clients nous somment a votre disposition pour toutes questions … En effet Dans notre entreprise nous prenons a cœur...




































